日期:2024/4/24
来源:
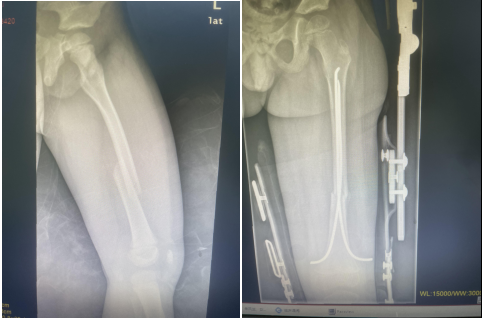
弹性髓内钉技术的特点:
①闭合整复骨折;
②保护了骨折周围的软组织附着和血运,骨折愈合快;
③利用其弹性和双“C”形的固定模式形成髓内支架,骨干周围的肌肉构成软组织框架,达到相对稳定的生物学固定;
④不损伤长骨干两端的骺板;
⑤住院时间短,利于早期返校复学。
因此,该技术是一种微创、安全、有效、并发症少的内固定方法,适用于儿童长骨干横形、斜形及短螺旋形骨折,对肱骨和股骨近、远端干骺端骨折及桡骨颈骨折如应用得当也可获得满意的治疗效果。目前,弹性髓内钉技术在国内外已成为儿童四肢长骨干闭合性骨折治疗的首选方法。
术后应使用石膏或支具固定 6~8,尤其是不稳定性骨折。石膏或支具固定有助于缓解疼痛和减少膝关节周围软组织激惹。当X线片上有连续骨痂出现,可开始部分负重行走。弹性钉取出时间可根据骨折愈合时间及功能恢复情况而定,学龄期儿童寒暑假期间取出内固定为宜。弹性钉留置时间过长,可能会增加取出的难度。股骨干骨折4~5个月可获得坚强愈合;肱骨和胫骨通常需要 3~4 个月;尺桡骨双骨折约 6 个月可获得坚强愈合。而干骺端骨折通常 6~8 周愈合,术后 3 个月即可取出内固定。(骨二科)



友情链接
电话:0558-7210196
地址:涡阳县城关镇胜利路112号(老院区)
涡阳县城关镇向阳南路急救中心(新院区)
患者朋友:你在就诊过程中如有不满意之处,请第一时间拨打以下投诉电话:
2867680(院纪委办,正常工作时间)
7210196(总值班室,非正常工作时间)
关注微信公众号
微信扫描二维码
快捷预约挂号
皖公网安备 34162102000215号 2015 All Rights Reserved © 涡阳县人民医院