日期:2023/4/26
来源:
近日,神经外科易殿强治疗组联合上级医院专家用瘤内扰流装置WEB成功为一例大脑中动脉分叉部宽颈动脉瘤进行了治疗。据了解,该手术为安徽省县级医院第一例使用瘤内扰流装置WEB治疗此类疾病。
患者董某,男性,59岁,今年2月底的一天,因忽发剧烈头痛伴意识障碍到我院神经外科就诊,经查CT确诊为自发性蛛网膜下腔出血,进一步病因检查头颈部CTA(CT血管成像),确诊为“颅内多发动脉瘤”,一枚位于前交通部,另一枚位于大脑中动脉分叉部。

左侧不规则圆形区域为前交通动脉瘤
右侧不规则圆形区域为大脑中动脉分叉部动脉瘤
结合患者首次发病后颅内出血的分布及颅内两枚动脉瘤的形态特点,判定前交通动脉瘤为此次破裂出血的责任动脉瘤。
颅内动脉瘤,俗称为“颅内的不定时炸弹”,一旦破裂出血,则会对病人的健康造成很大的危害。对于颅内动脉瘤的治疗方式:一种是传统的开颅夹闭术,手术创伤大,并发症多;另一种是微创的介入栓塞术。目前首选的治疗方式是介入栓塞术。
对于颅内分叉部宽颈的动脉瘤这一类复杂动脉瘤,无论是开颅夹闭亦或介入治疗,其治疗的效果和安全性仍然面临诸多挑战。
随着介入材料的不断发展,瘤内栓塞装置WEB的出现则提供了一种全新的选择。相对于传统的支架辅助栓塞技术,瘤腔内WEB栓塞术有着明显的优势:其一简化了手术操作的复杂性,缩短了手术时间,从而降低了手术操作相关并发症的发生率;其二术后不需要长时间服用抗血小板药物。

易殿强治疗组经过多次病例讨论、会诊,并与上级医院专家沟通患者情况、治疗方案,结合患者围手术期防治出血性或缺血性并发症,取得家属同意后,在上级医院专家的指导下使用瘤内扰流装置WEB为患者进行治疗。
针对破裂出血的颅内动脉瘤,治疗原则是一期救命,即在发病后患者身体条件允许的情况下、尽早的时间窗内、最大限度地降低再次破裂出血的机会;二期是治病,即针对患者复发的动脉瘤或未破裂的动脉瘤进行预防破裂出血的治疗。
此患者一期破裂出血的责任动脉瘤为前交通动脉瘤,为在尽早的时间窗内、最大限度防范再次破裂出血,于2月27日为患者进行了单纯弹簧圈栓塞的手术,有效阻断了动脉瘤再次破裂出血。
患者在第一次手术后,经过积极的治疗和康复,身体机能恢复后,于第一次手术术后6周余(4月14日)进行二期的大脑中动脉分叉部宽颈未破裂动脉瘤的预防破裂出血的治疗,从根本上防止了隐患动脉瘤破裂出血。

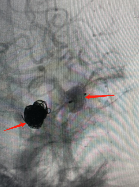
左侧箭头区域为一期手术(单纯弹簧圈栓塞治疗)
右侧箭头区域为二期手术(WEB治疗)
在医护人员的悉心照料下,术后第四天,该患者即康复出院。

术后CT显示:颅内未发现出血、梗塞等并发症。
由于WEB材料精密、手术实施难度大、技术要求高,2021年才开始逐步进入中国,去年在国内批准上市,是颅内动脉瘤治疗的新理念、新选择。如今这一手术的成功开展,提高了我院神经外科的医疗技术水平,让动脉瘤患者在家门口就能有更多、更高质量的治疗选择。(神经外科)
友情链接
电话:0558-7210196
地址:涡阳县城关镇胜利路112号(老院区)
涡阳县城关镇向阳南路急救中心(新院区)
患者朋友:你在就诊过程中如有不满意之处,请第一时间拨打以下投诉电话:
2867680(院纪委办,正常工作时间)
7210196(总值班室,非正常工作时间)
关注微信公众号
微信扫描二维码
快捷预约挂号
皖公网安备 34162102000215号 2015 All Rights Reserved © 涡阳县人民医院