日期:2024/4/25
来源:
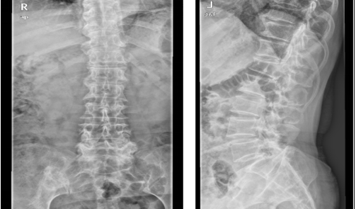
骨质疏松性椎体压缩骨折(osteoporotic vertebral compression fractures, OVCF)成为全球性健康问题。OVCF是老年人群致残、致死的主要原因,严重影响患者生活质量,为社会和家庭带来沉重的经济和生活负担。随着微创技术经皮椎体成形术(PVP)和经皮椎体后凸成形术(PKP)的问世,给此类患者带来了福音,PVP因其手术创伤小、安全性高、缓解疼痛效果良好等优势,已逐渐成为治疗OVCF的重要方法之一。
文献报道 OVCF 患者的永久性致残率达50%,致死率达20%,OVCF 导致骨折椎体高度丢失,后凸畸形,产生顽固性背痛,由于疼痛、卧床、活动减少,使患者骨量进一步丢失。持续的骨量丢失加上后凸畸形导致患者身体重心前移,使脊柱再骨折和其他部位骨折的发生率显著增加。对于 OVCF 保守治疗无法早期缓解疼痛,需长期卧床,由于活动减少导致骨量的进一步丢失,骨强度进行性下降,形成恶行循环。因此, 该疾病的早期诊治非常重要,以提高患者的生活质量,不仅需要手术治疗恢复椎体高度以稳定脊柱,还需严格的抗骨质疏松一并治疗。(骨二科)

术前


术后

友情链接
电话:0558-7210196
地址:涡阳县城关镇胜利路112号(老院区)
涡阳县城关镇向阳南路急救中心(新院区)
患者朋友:你在就诊过程中如有不满意之处,请第一时间拨打以下投诉电话:
2867680(院纪委办,正常工作时间)
7210196(总值班室,非正常工作时间)
关注微信公众号
微信扫描二维码
快捷预约挂号
皖公网安备 34162102000215号 2015 All Rights Reserved © 涡阳县人民医院