日期:2024/4/25
来源:
桡骨远端骨折(Distal radial fractures)---是指距桡骨远端关节面3cm以内的骨折,是松质骨和密质骨的交界处,横截面呈四边形且骨皮质较弱因此力学结构较弱,骨折后容易发生松质骨的塌陷,皮质骨的粉碎及桡骨缩短现象。
正常腕关节尺偏角约为23°。通常,桡骨远端骨折患者桡倾角<15°具有相对手术适应症。正常腕关节掌倾角大约为11°至12°。


Colles骨折:最多见于跌伤:手臂伸出,前臂旋前,腕背伸,以手掌着地。

Smith骨折:此类骨折多为跌倒,腕背着地,腕关节急骤掌曲致伤。或跌倒时手掌伸展,旋后位着地而造成。即患者向后跌倒,上肢伸直且手掌面着地,向掌侧移位。

Barton骨折 桡骨远端关节面纵斜型骨折,伴腕关节脱位或半脱位。
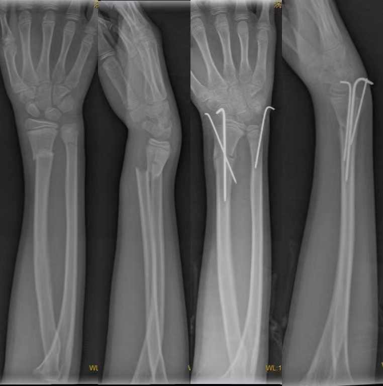
治疗方案:
1.手法复位石膏支具固定:对于简单、稳定的关节外骨折及部分关节内骨折,通常手法复位石膏或夹板同定即可获得较为满意的疗效。石膏外固定可以控制对位,但不能对抗轴向负荷,60%的复位丢失发生于1周内,因此,应在术后1周开始摄片复查。在复查随访中除了监测复位情况外,还要注意观察有无其他并发症发生。常见的并发症有皮肤压疮、骨筋膜室综合征、反射性交感神经营养不良、骨量丢失加速、关节僵硬等。

2.经皮穿针固定:具有手术简单、取出容易、较少影响肌腱功能等特点。适应征:既可以作为一种单独的外固定方法,也可以作为石膏外固定和外固定架的有效辅助措施。单独应用时,适用于关节外骨折,闭合复位后早期出现再移位的骨折,以及一些能闭合复位但无法靠外固定维持位置的关节内骨折。年龄<65岁的关节外骨折、伴有干骺端轻微粉碎的骨折或无移位的关节内骨折。

友情链接
电话:0558-7210196
地址:涡阳县城关镇胜利路112号(老院区)
涡阳县城关镇向阳南路急救中心(新院区)
患者朋友:你在就诊过程中如有不满意之处,请第一时间拨打以下投诉电话:
2867680(院纪委办,正常工作时间)
7210196(总值班室,非正常工作时间)
关注微信公众号
微信扫描二维码
快捷预约挂号
皖公网安备 34162102000215号 2015 All Rights Reserved © 涡阳县人民医院