日期:2024/4/24
来源:
老年髋部骨折分为股骨颈骨折和粗隆间骨折又被称为“人生最后一次骨折”
股骨颈股则属于囊内骨折,不愈合和缺血坏死发病率高。
粗隆间骨折属于囊外骨折,很少影响股骨头供血,骨折部位为松质骨结构,血运丰富。因此,与股骨颈骨折不同,粗隆间骨折发生骨不连和股骨头坏死的概率很低。
■ 老年髋部骨折患者,常合并多种内科疾病,老年患者卧床后并发症率及死亡率高,因此治疗目的是减少患者不适,恢复髋关节功能,从而恢复早期活动。
手术治疗,可以使病人早期活动,减少卧床并发症,降低死亡率,改善生活质量。
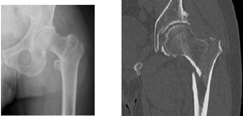
一 股骨颈骨折的手术治疗首选人工股骨头置换

术后处理:
● 术后一天,根据引流状况,皮下应用低分子肝素,或口服 Xa 因子抑制剂,抗凝治疗 4 周。
● 术后早期开始功能锻炼:后入路进行髋关节置换的患者,由于后部关节囊破坏,稳定性减低,应避免患肢内收、内旋、屈髋,具体指导如下:
□ 禁止健侧卧位,如果侧卧,可在两腿之间垫枕;
□ 不要在平卧位时将患肢内收翘在健肢上,可在双腿间垫枕;
□ 座位时不要跷二郎腿;
□ 在坐起过程中,不要屈髋度数>90°,坐起、下地时应有人辅助,垫高背后,患肢稍屈髋坐起、下地。
◆ 疼痛减轻后开始下地,从不负重锻炼,到助行器辅助下部分负重锻炼,直至完全负重,对于骨水泥型假体,根据骨质疏松情况,4 ~ 6 周可过渡至完全负重,生物型假体在
8 ~ 12 周过渡至完全负重。
二 股骨粗隆间骨折的治疗首选股骨近端髓内钉固定(PFNA/Intertan)





髓内固定属于中心性固定不需要对内侧骨块解剖复位固定,不干预内侧的生物学环境,自然增加了骨折的愈合率。因此,髓内固定适于任何类型的骨折固定,特别是在不稳定型骨
折固定中表现优异。
三 股骨粗隆间骨折人工股骨头置换术
■ 手术适应证:股骨粗隆间骨折多采取内固定的方式治疗,行人工关节置换需严格把握适应证。
● 病人在骨折前就已经患有股骨头缺血坏死或骨性关节炎等髋关节疾病,可选择全髋置换同时解决骨折和疾病两个问题。
● 内固定失败的病例,再次内固定时很难获得足够的稳定性,关节置换可作为一种补救措施。
● 当骨质疏松非常严重时,内固定的可靠性受到质疑,此时也可以考虑股骨头置换术。(骨二科)

友情链接
电话:0558-7210196
地址:涡阳县城关镇胜利路112号(老院区)
涡阳县城关镇向阳南路急救中心(新院区)
患者朋友:你在就诊过程中如有不满意之处,请第一时间拨打以下投诉电话:
2867680(院纪委办,正常工作时间)
7210196(总值班室,非正常工作时间)
关注微信公众号
微信扫描二维码
快捷预约挂号
皖公网安备 34162102000215号 2015 All Rights Reserved © 涡阳县人民医院