日期:2023/11/17
来源:
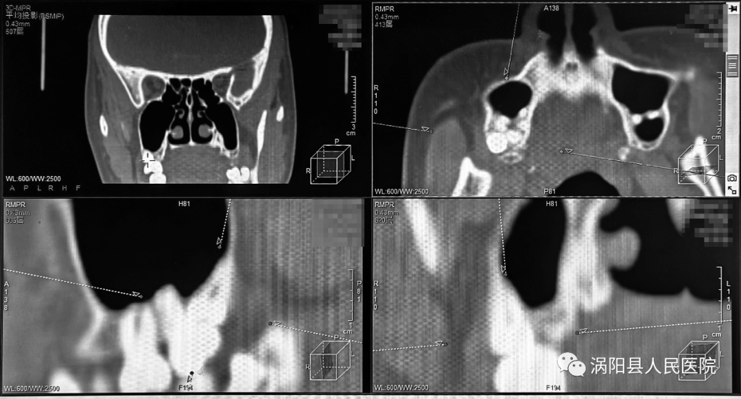
病例(一)


术前影像资料可见上颌第三磨牙完全埋伏、阻生且牙根紧贴上颌窦,拔除困难、术中稍有不慎,埋伏的阻生牙易进入上颌窦内,造成上颌窦穿通。

(拔除后的上下第三磨牙)

拔除后复查牙片可见周围骨质损伤较小,上颌结节完好。
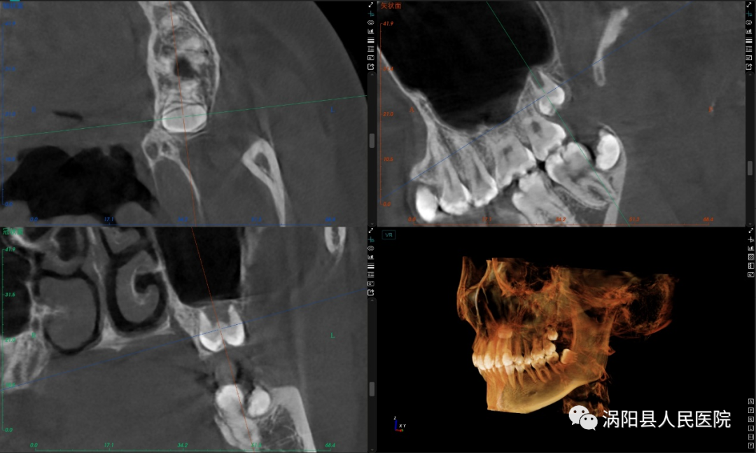
病例(二)

患者术前影像资料,可见上颌双侧第三磨牙埋伏阻生且位置较深、属超低位阻生,距离上颌窦较近。

拔除后的上颌双侧第三磨牙
微创拔牙技术是拔除阻生齿的有效手段,能够降低并发症发生率,减轻身体炎症反应以及提升口腔健康水平,具有良好的预后效果,受到广大患者的好评。(来源|口腔科)
友情链接
电话:0558-7210196
地址:涡阳县城关镇胜利路112号(老院区)
涡阳县城关镇向阳南路急救中心(新院区)
患者朋友:你在就诊过程中如有不满意之处,请第一时间拨打以下投诉电话:
2867680(院纪委办,正常工作时间)
7210196(总值班室,非正常工作时间)
关注微信公众号
微信扫描二维码
快捷预约挂号
皖公网安备 34162102000215号 2015 All Rights Reserved © 涡阳县人民医院